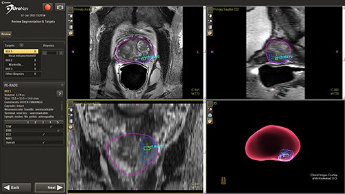
To overcome the limitations of current screening methods for prostate cancer¹ ², Philips has developed UroNav*, an image-guided stereotactic biopsy system that has the ability to improve the sensitivity and specificity of prostate biopsies. It has the potential to reduce false negatives and speed up diagnosis, which can make a life-saving difference to patients.
This material is not for distribution/use in the USA




