• Professional healthcare
  • Products & Services
  • Inspiration
  • Support & Contact
  • Shop
‌
‌
‌
‌
‌
‌
‌
‌
‌
‌
‌
‌
‌
‌
‌
‌
‌
‌
‌
‌
  • Consumer productsConsumer products
    • Home
    • Support
  • Healthcare professionalsHealthcare professionals
    • Home
    • Products
    • Services
    • Specialties
    • Solutions
  • Other business solutionsOther business solutions
    • Lighting
    • Automotive
    • Dictation Solutions
    • More
    • Hearing solutions
    • Display solutions
  • אודותנואודותנו
    • Home
    • חדשות
    • קשרי משקיעים
    • קריירה
    • More
    • חדשנות
    • סביבתי, חברתי וממשלתי
  • Contact and supportContact and support
    • Customer support
    • Professional healthcare support
    • Company contacts
  • Stay up-to-dateStay up-to-date
  • Select your country / languageGlobal / English
  • Privacy Notice
  • Terms of use
  • Cookie notice
© Koninklijke Philips N.V., 2004 - 2025. כל הזכויות שמורות.
‌
‌
‌
‌
‌
‌
‌
‌
‌
‌
‌
‌
‌
‌
‌
‌
‌
‌
‌
‌
Philips Spectral CT 7500 scanner
Computed tomography

Detector-based spectral CT technology

Contact salesFind support

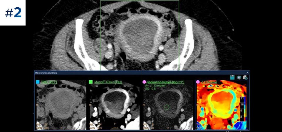
See beyond conventional CT to detector-based spectral CT

With Philips true detector-based spectral CT, scan as you normally would for fast, low-dose conventional and spectral results. Detector-based spectral CT acquires scans within a single exposure and without special protocols, and with results on demand. There’s no need to choose between viewing anatomical structures and identifying material composition. Detector-based spectral CT images capture spectral information 100% of the time, so you can analyze spectral data in any image retrospectively for rich clinical insights. Speed confident diagnosis and minimize the need for additional scans.
Philips Spectral CT 7500 system image from the side

Philips Spectral CT 7500

Detector-based spectral CT

See why Philips detector-based spectral CT imaging saves time and speeds confident diagnosis with fast, low-dose conventional and spectral results.

Demonstrated results

  1. 96%

    increase in diagnostic certainty1

    96%

    increase in diagnostic certainty1

    A study showed a 96% increase in diagnostic certainty when differentiating benign cysts from malignant lesions when using spectral dual-layer detector CT versus 30% with conventional CT.1

  2. 23%

    increase in diagnosis confidence2

    23%

    increase in diagnosis confidence2

    There was a 23% increase in diagnosis confidence in increased lesion conspicuity with detector-based spectral CT.2

  3. 26%

    reduction in follow-up scans3

    26%

    reduction in follow-up scans3

    due to incomplete diagnosis.3 Detector-based spectral CT supports first-time-right results.

  4. 34%

    reduction in time to diagnosis4

    34%

    reduction in time to diagnosis4

    with the use of detector-based spectral CT.4

    Read more
Why detector-based spectral CT is different
Unlike source-based spectral options, detector-based approaches simultaneously absorb and differentiate high and low energy, available in a single polyenergetic X-ray beam, at the detector level. Spectral results are acquired within a single scan without the need for special modes.
Video explains why dual-energy and spectral-detector CT aren’t the same.
Retrospective analysis for results on demand with no trade-offs
With spectral CT, image quality, dose and workflow come together. Perform fast, low-dose spectral scans without compromising speed, power or field of view. Now you can convert deep clinical data into valuable diagnostic information using simple, routine scanning with seamless integration of spectral data into your reading environment for a fast path to diagnosis.
Video debunks the myth that workflow for spectral CT is too complicated
End-to-end workflow to enhance clinical confidence and speed time to diagnosis
Philips CT portfolio and Advanced Visualization Workspace enables clinical performance — saving time, enhancing diagnostic confidence, and ensuring optimal patient care despite the increasing demands on radiology departments. Reading was made simpler with enhanced clinical confidence. Automated and AI-enabled5,6 post-processing: automates routine tasks, allowing radiologists to focus on interpretation and clinical decision-making.
Quickly see beyond diagnostic uncertainty
Philips spectral CT offers simple workflow with spectral results 100% of the time, fast time to diagnosis and benefits for a wide range of patients, including cardiac, emergency/trauma and oncology.
Discover the system
Doctor looking at the clinical image of the Spectral CT system

Spectral CT helps me objectively differentiate contrast staining from hemorrhage, obviating the need for additional follow up scanning and prolonged patient observation, which can result in reduced costs and radiation exposure to patients.

 Ryan K. Lee
Ryan K. Lee
Chair of the Department of Radiology
Einstein Healthcare Network
CT scanner

Documentation

Advantages of a spectral detector-based CT system
PDF|(1.87 MB)
Spectral detector CT
PDF|(1.38 MB)
Dual-energy and spectral computed tomography imaging
PDF|(6.40 MB)
1/3
Hennepin Dr.Gopal PunjabiHeidelberg_Dr. Kauczor HR_ThumbnailRadiodiagnóstico Resonancia, Magnética Clinic of the Hospital, Nuestra Señora del Rosario, Madrid, Spain
Footnotes
  1. Andersen MB, Ebbesen D, Thygesen J, Kruis M, Rasmussen F. Impact of spectral body imaging in patients suspected for occult cancer: a prospective study of 503 patients. Eur Radiol. 2020 Oct;30(10):5539-5550. doi: 10.1007/s00330-020-06878-7
  2. Philips. (2020). Clinical Element: Improved lesion conspicuity using IQon Spectral CT.
  3. Follow-up Recommendation Rates Associated With Spectral Detector Dual-Energy CT of the Abdomen and Pelvis: A Retrospective Comparison to Single-Energy CT. Atwi, Noah E. et al. J Am Coll Radiol. 2020;17:940-950
  4. Philips. (2017). Whitepaper: Economic impact of IQon for patients with renal insufficiency.
  5. Specktor B. Preprocessing prediction of advanced algorithms for medical imaging, J Digit Imaging 31:42-50, 2018
  6. Applications may not be available in all markets. Please contact your Philips representative for more details.
Disclaimer
Results are specific to the institution where they were obtained and may not reflect the results achievable at other institutions. Results in other cases may vary.