What's new

 
We’re constantly working to improve innovations within the Lumify experience, including frequent hardware and software updates.

Learn how Lumify can work for you

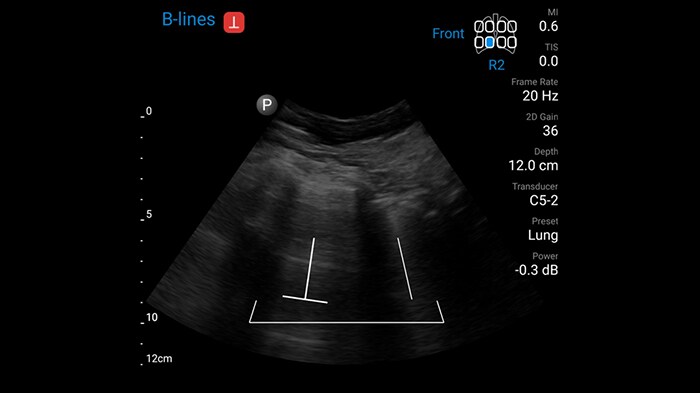
Now with AI-powered Auto B-line Quantification[1]


Auto B-line Quantification – unique to Lumify in handheld ultrasound – quickly delivers reproducible, reliable information that can enhance your confidence when making clinical decisions in critically ill patients with lung conditions.

auto-b-line

Now with AI-powered Auto EF for cardiac scanning[1]


Calculate ejection fraction (EF) using a single 4-chamber apical view of the heart without manual editing. Auto EF is designed to standardize quantification and reduce subjectivity among users of varying ultrasound experience.

Lumify compatible with Apple devices new ef

We are always interested in engaging with you.

Let us know how we can help.

1
Select your area of interest
2
Contact details

[1] Available only on Lumify for Android.

You are about to visit a Philips global content page

Continue

You are about to visit a Philips global content page

Continue

ניתן לראות את האתר שלנו בצורה הטובה ביותר עם הגרסה האחרונה של Microsoft Edge, Google Chrome או Firefox.